Distemper inklüzyon
Ehrlichia
Babesiosis
Anaplasma
Staphylococcus spp.
Francisella philomiragia
Mycobacterium
Histoplasma capsulatum
Leishmania
Hepatozoon
Cytauxzoon
Hemobartonellosis
Nötrofillerin içinde bulunan inküluzyonlar.

Köpekler için A-3 tane kırmızımsı Distemper inklüzyon cisimciği B- Ehrlichia ewingii inklüzyonu. C-Anaplasma phagocytophilum inklüzyonu G-Lökopeni ve septisemisi bulunan kedide bakteri basilinin nötrofil tarafından fagosite edilmiş görünümü. H- Köpekte Staphylococcus intermedius enfeksiyonunda basilin fagosite edilmiş görünümü

I- Francisella philomiragia enfeksiyonu ve DIC hastalığı bulunan köpekte toksik ve dejeneratif nötrofil. J- Mycobacterium enfeksiyonu. K- Histoplasma capsulatum enfeksiyonlu köpekte nötrofil. L- Leishmania infantum amastigot içeren nötrofil

Solda köpekte Hepatozoon americanum gamontu. E- Sağdaki FIV virüsü pozitif kedide toksik, dejeneratif nötrofil.
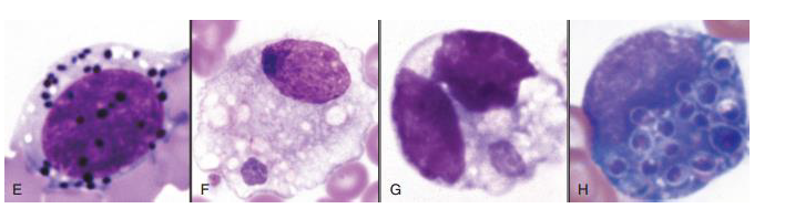
Monosit ve makrofajların patolojik görünümleri: 
E- Melanoması olan bir köpekte melanin granülleri. F-Köpekte makrofaj içinde Ehrlichia canis inklüzyonu. G- Köpekte monosit içinde Ehrlichia canis inklüzyonu. H- Köpekte Histoplasma capsulatum
J-Köpekte babesiosis hastalığında aktifleşmiş vakuollü monosit. L-Hemobartunellosis hastalıklı kedinin aktifleşmiş makrofajı. N- Hemobartonellosis hastalıklı kedinin monositi eritrofagositozisle birlikte. P- Malignan melanoma hastalığında melanin granüllerinin bulunduğu monosit. Q-Köpekte Ehrlichia canis inklüzyonu bulunan makrofaj. S- Kedide Histoplasma capsulatum. T. Kedi makrofajında Cytauxzoon felis şizontu


