Malessezia spp. normalde deride bulunur. Deri, dudak, anüs, vajina, analkese ,dış kulakta normalde bulunur. Nemli kulak kanalı içinde bal mumu görüntüsüne neden olur. Uzun tüylü, sarkık kulaklı köpeklerde, deri hastalığı olan, uzun süre antibiyotik kullanmı, epidermis bariyerinin bozulması bu hastalık için predispozisyon oluşturmaktadır.
Klinik Bulgu:
Baş sallama, kulak akıntısı, kötü koku, kaşıntı, bölgesel veya generalize tüy döküntüsü, hiperpigmentasyon, deride kalınlaşma.
Karın, koltuk altı, boyunda eritem, likefikasyon, deride yağlanma.
Kedide otitis, kene aknesi veya generalize pullu dermatittis.
Superfacial follikulit, interdigital follikulit, furunkulozis.
Tanı:
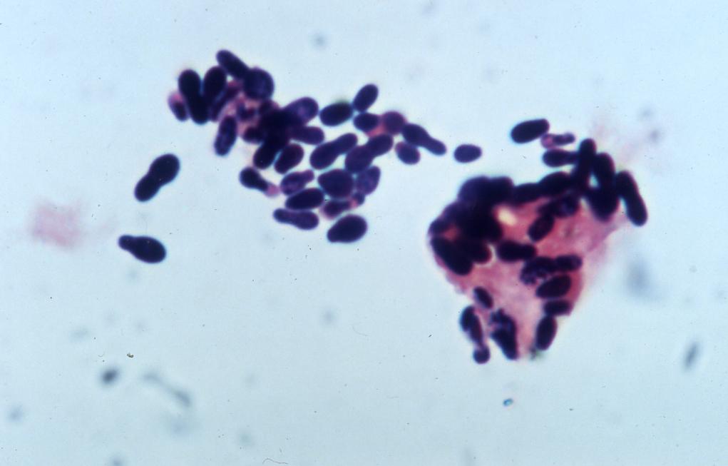
Deri kazıntısından alınan örneğin diffquick boyamayla lamda Gr (+) , yer fıstığı veya ayak izi görünümünde mayaların görünmesidir. Her alanda 10’dan fazla görülmesi enfeksiyona işaret eder.
Tedavi:
Ketakonazol: 5-10 mg/kg po G1-2K, 4 hafta
Itrakanazol: 10 mg/kg po G1K, 4 hafta
Terbinafine: 30 mg/kg po G1K, 4 hafta
Topikal: %1 ‘ lik selenyum sulfid, Ketakonazol şampuan, Klorhekzidin şampuan, %2′ lik Enilkonazol, Sirkeli su (1/5, 1/10), %1’ lik Mikonazol şampuan.





